By Health In Five Writer
A team headed by Dr. Tushau Prasad, Consultant Emergency Physician at Wockhardt Hospitals, Mira Road gave a fresh lease of life to a 34-year-old patient with collapsed lung due to a condition called pneumothorax. This condition leads to air trapping in the chest, compressing the heart and causing respiratory (breathing) distress. The patient was saved with timely intervention in the first hour after the trauma. He can breathe freely now and has been discharged from the hospital.

A security guard at Wockhardt Hospital, Mira Road alerted the emergency room (ER) when he saw a patient Nishant Sood (name changed)*, a resident of Mira Road, businessman by profession coming out of an auto-rickshaw with clothes drenched in blood, holding his right upper chest. He was distressed, visibly looking in pain, his breaths were brief and painful. He looked like he was badly injured due to a stabbing in the chest. The patient was immediately taken to a triage bed which is a method by which an early focused examination is done to rule out any life-threatening problems in the patient. If there is chest stabbing, there may be a life-threatening lung or heart injury which has high mortality rates.
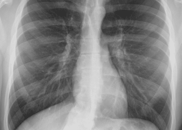
Dr. Tushau Prasad, Emergency Physician, Wockhardt Hospitals, Mira Road, said, “In our initial assessment we came to know that his airway was clear since he could speak full sentences but he didn’t have any breath sounds on the right side of his chest. His X-Ray revealed that there was an air-trapping happening under the skin on the right side. We realized that it was a traumatic chest injury wherein the stabbing object had penetrated through the chest wall hurting blood vessels and with its tip injuring the pleura, contributing developing of pneumothorax (air enters the pleural space). Such traumatic cases, if not handled immediately lead to loss of life because of a condition called pneumothorax wherein the lung collapses as the air leaks into the space between the lung and chest wall. This air pushes on the outside of the lung and makes it collapse and compresses the heart due to the expanding pressure.”
Dr. Prasad added, “The patient was put on oxygen support first and then a needle decompression of the chest cavity was done. It is the process by which the air in the lungs is released. Stab or penetration wounds on the chest have high mortality rates. In patients with suspected Pneumothorax, Needle Thoracostomy is a life-saving procedure and should be done as soon as possible followed by a chest tube which was inserted in the chest to release air trapping due to pneumothorax and help him to breathe properly. The patient was also put on blood transfusion because the blood pressure was critically low that is 67/42 mmHg and the patient had lost significant blood. Slowly, his BP came to normal range, his breathing improved. Later, his CT scan showed a remarkable improvement. After a short stay of 4 days, the patient was discharged with complete recovery.”
All about chest trauma
All age ranges are at risk for chest trauma. After head and extremity trauma, chest trauma is the third most common blunt injury. Penetrating injuries of the chest are most commonly the result of stab wounds and are often associated with a range of potentially life-threatening injuries.
Treatment of such patients depends on a number of factors:
- size of the pneumothorax
- symptoms
- background lung disease/respiratory reserve
It is the need of the hour to treat trauma patients like him in the first hour which is known as golden hour management. The patient may die if he /she doesn’t receive treatment on time. Early recognition of trauma to the chest is a priority. The first 3 steps of trauma evaluation involve evaluation, recognition, and intervention of potential injuries to the chest. Following a routine method of TRAUMA PROTOCOL evaluation reduces missed injuries. Injuries to the heart and lungs are usually serious, and early diagnosis is vital since they have the highest mortality if missed.
Follow Health In Five on LinkedIn, Facebook, Twitter & Instagram
Subscribe on WhatsApp & Telegram to receive real time updates



































