By Health In Five Writer
A team of doctors from Zen Multispeciality Hospital, Mumbai gave a fresh lease of life to a 10-year-old girl who had accidentally swallowed a large metallic pin with a sharp end two years ago. A team led by ENT doctors Dr Kshitij Shah and Dr Shalaka Dighe, ably supported by paediatric pulmonologist Dr Sagar Warankar and anaesthesia team led by Dr Pramod Kale performed a successful surgery at the hospital. The patient recovered and was discharged within 48 hours.

About two years ago, Naira Shah (name changed), a 10 –year-old girl from Mumbai accidentally swallowed a metallic pin. An x-ray of the abdomen was done and it failed to reveal the foreign body and everybody eventually forgot about the incident. Her life was smooth until the patient started complaining of dry cough after 1.5 years of sleeping in certain positions. Hence, the patient visited Zen Multispeciality Hospital for further investigations.
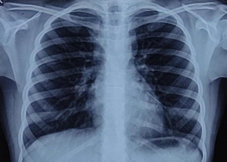
Dr Kshitij Shah, ENT Surgeon said, “To our utter surprise, an x-ray of the chest revealed a metallic foreign body in the lower airway on the left side. A CT scan of the chest was done to precisely locate the foreign body. After an initial attempt at removal of the foreign body by flexible bronchoscopy, a decision was made to perform a rigid bronchoscopy.”
Dr Shalaka Dighe, ENT Surgeon said, “Rigid bronchoscopy is a procedure done to gain access to the patient’s airway using a hollow metallic tube under general anaesthesia. The foreign body was successfully removed without any complications and without an external scar on the body after an hour-long surgery.
Dr Dighe said, “The child was hale and hearty in a couple of hours after surgery. Failure to remove the foreign body via bronchoscopy would mean a very morbid open surgery (thoracotomy) to remove it.”
“For over 1.5 years, Naira (name changed) was fine and did not encounter any problems. But suddenly she started coughing. We panicked, feared Covid and took her to Zen Hospital. We are thankful to Zen Hospital for promptly treating our child and urge other parents like us to keep away sharp or metallic objects like pins or coins from their children,” concluded the patient’s father Sanjiv Shah (name changed).
Follow Health In Five on LinkedIn, Facebook, Twitter & Instagram
Subscribe on WhatsApp & Telegram to receive real time updates



































